矯正の治療例Treatment

非抜歯の治療例

小児・TEEN

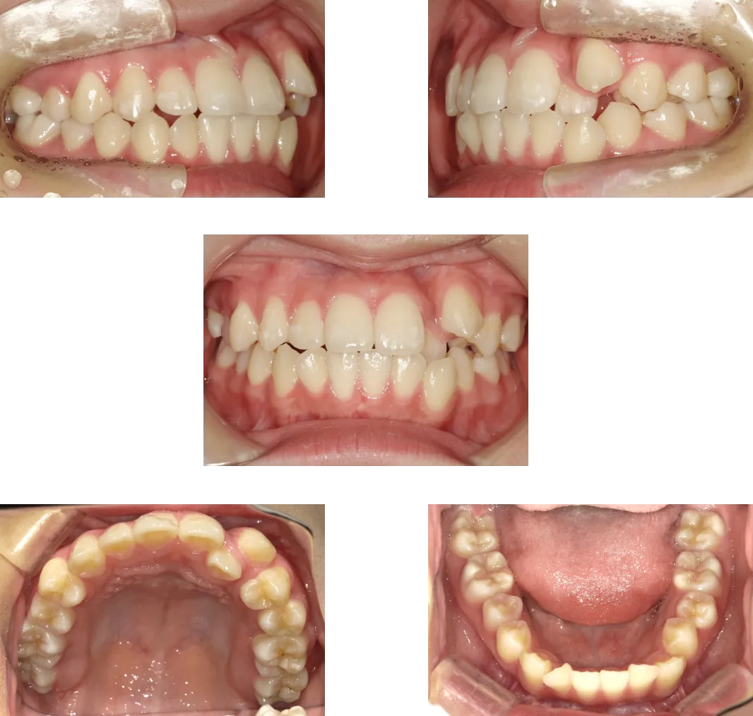
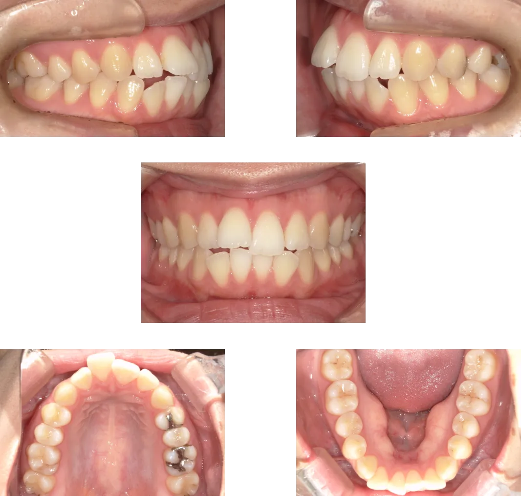
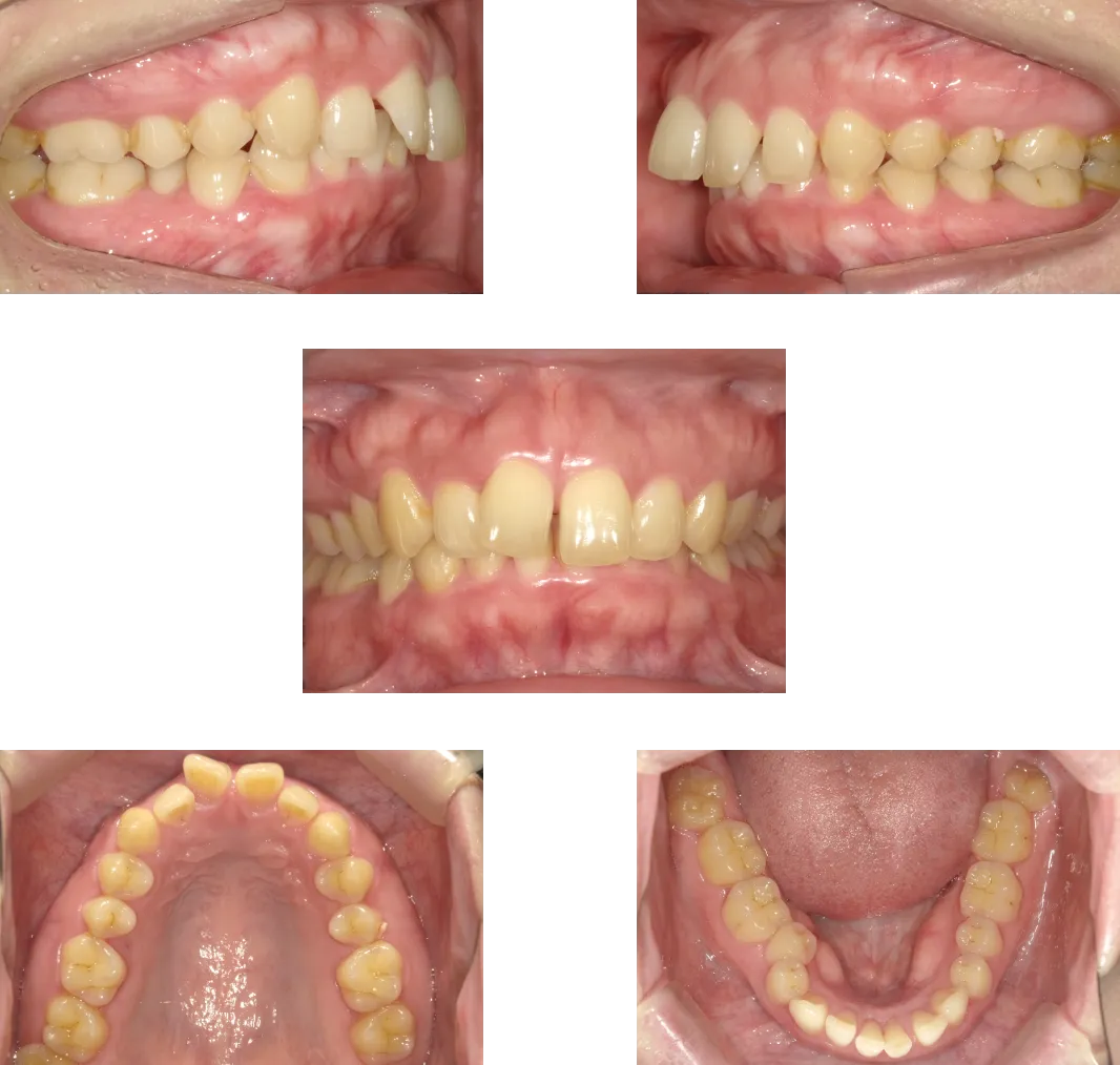
上顎前突 -7歳-

  • Before

  • After

診断
過蓋咬合を伴う重度骨格性上顎前突
治療期間
2年
抜歯
なし
料金
600,000+550,000円(調整料を含む。2期開始時分析料別途発生)
リスク
痛み、軽度の歯根吸収、術後の変化

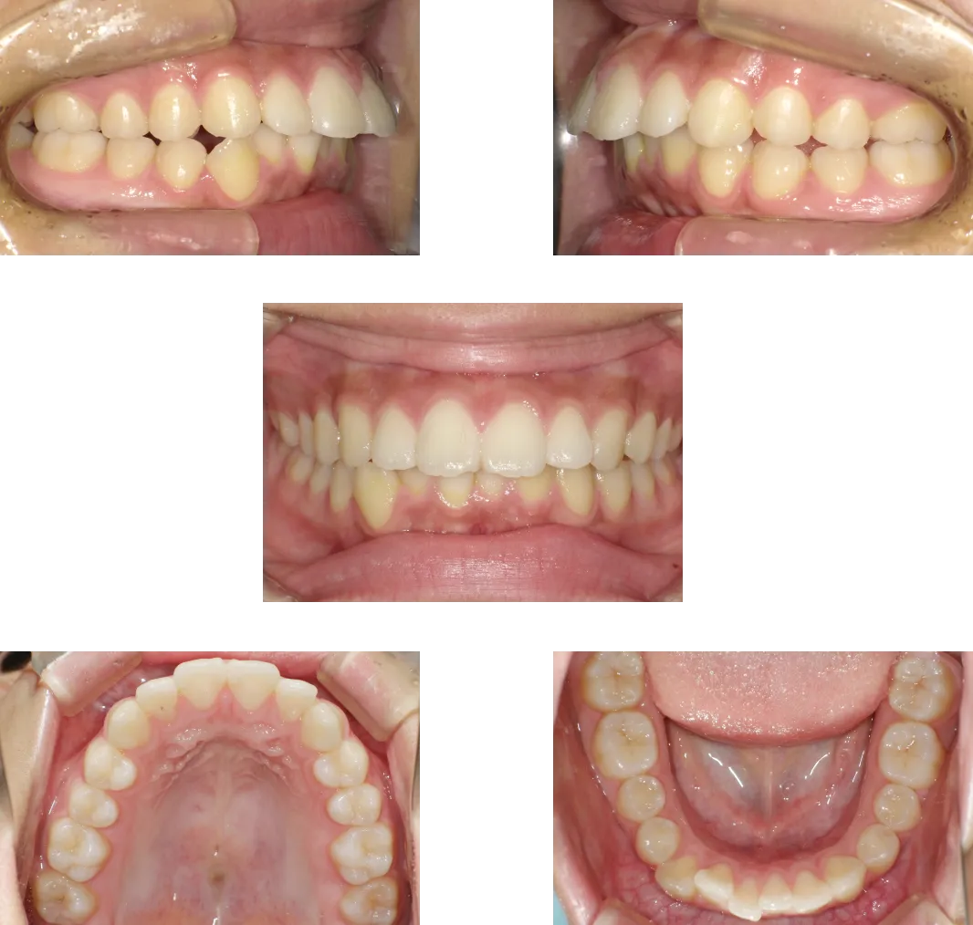
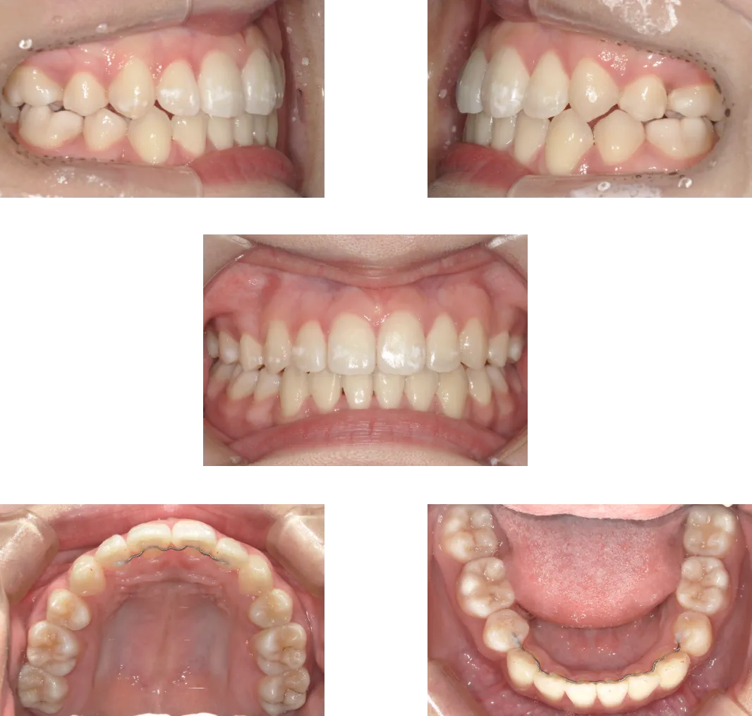
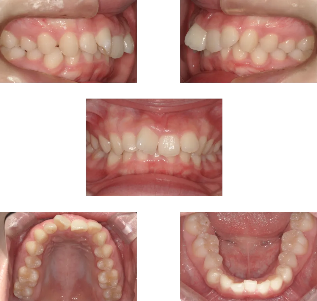
上顎前突 -15歳-

  • Before

  • After

診断
上顎の前歯唇側傾斜
治療期間
1年6ヶ月+保定期間2年
料金
950,000円
抜歯
なし
リスク
痛み、軽度の歯根吸収、術後の変化

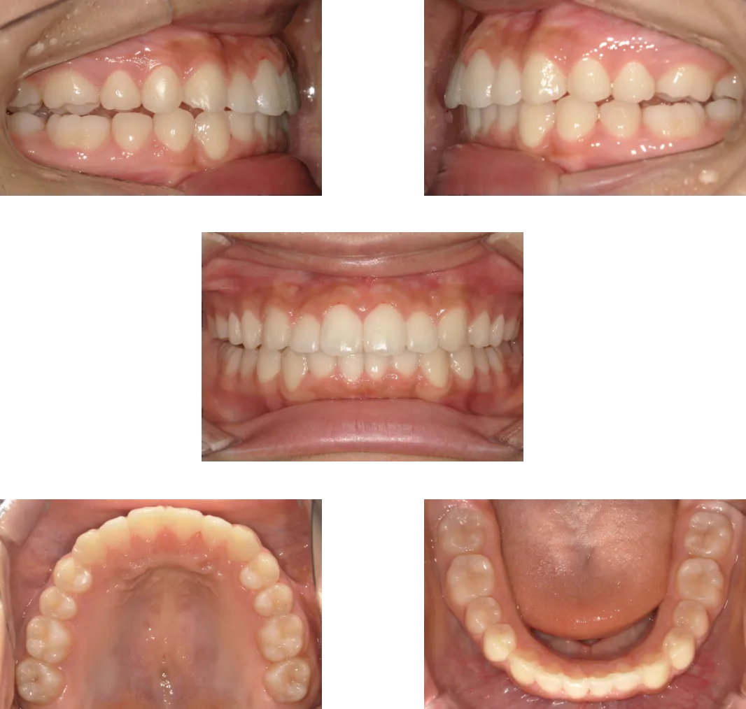
成人

叢生 -39歳-

  • Before

  • After

診断
両側顎関節の変形
治療期間
1年6ヶ月+保定期間2年
料金
1,060,000円
抜歯
なし
リスク
痛み、軽度の歯根吸収、術後の変化

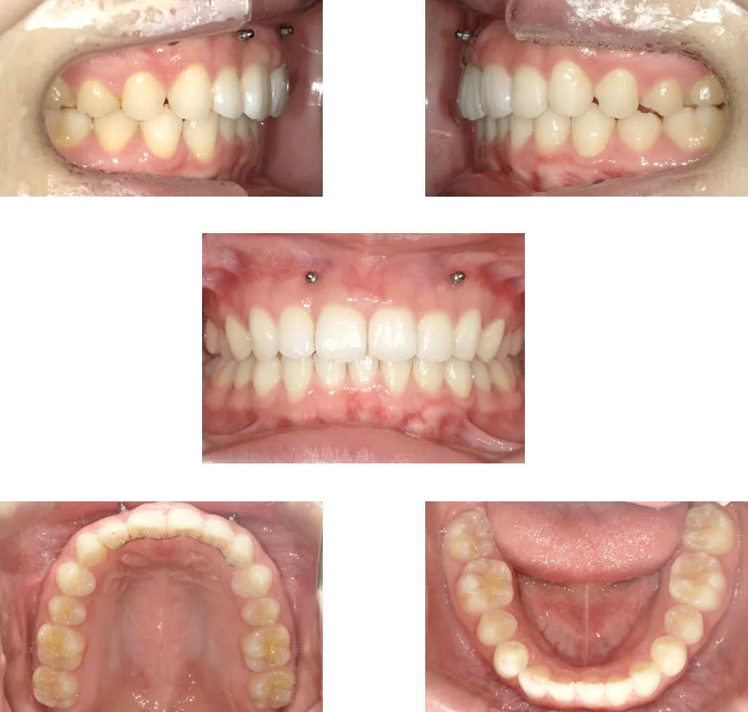
過蓋咬合 -20歳-

  • Before

  • After

診断
叢生、骨格性上顎前突
治療期間
1年6ヶ月+保定期間2年
料金
1,070,000円
抜歯
なし
リスク
痛み、軽度の歯根吸収、術後の変化

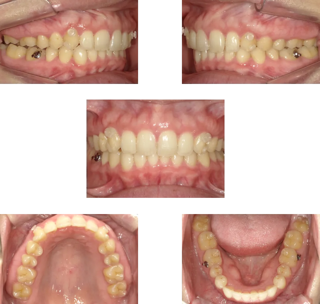
抜歯をともなう治療例

TEEN

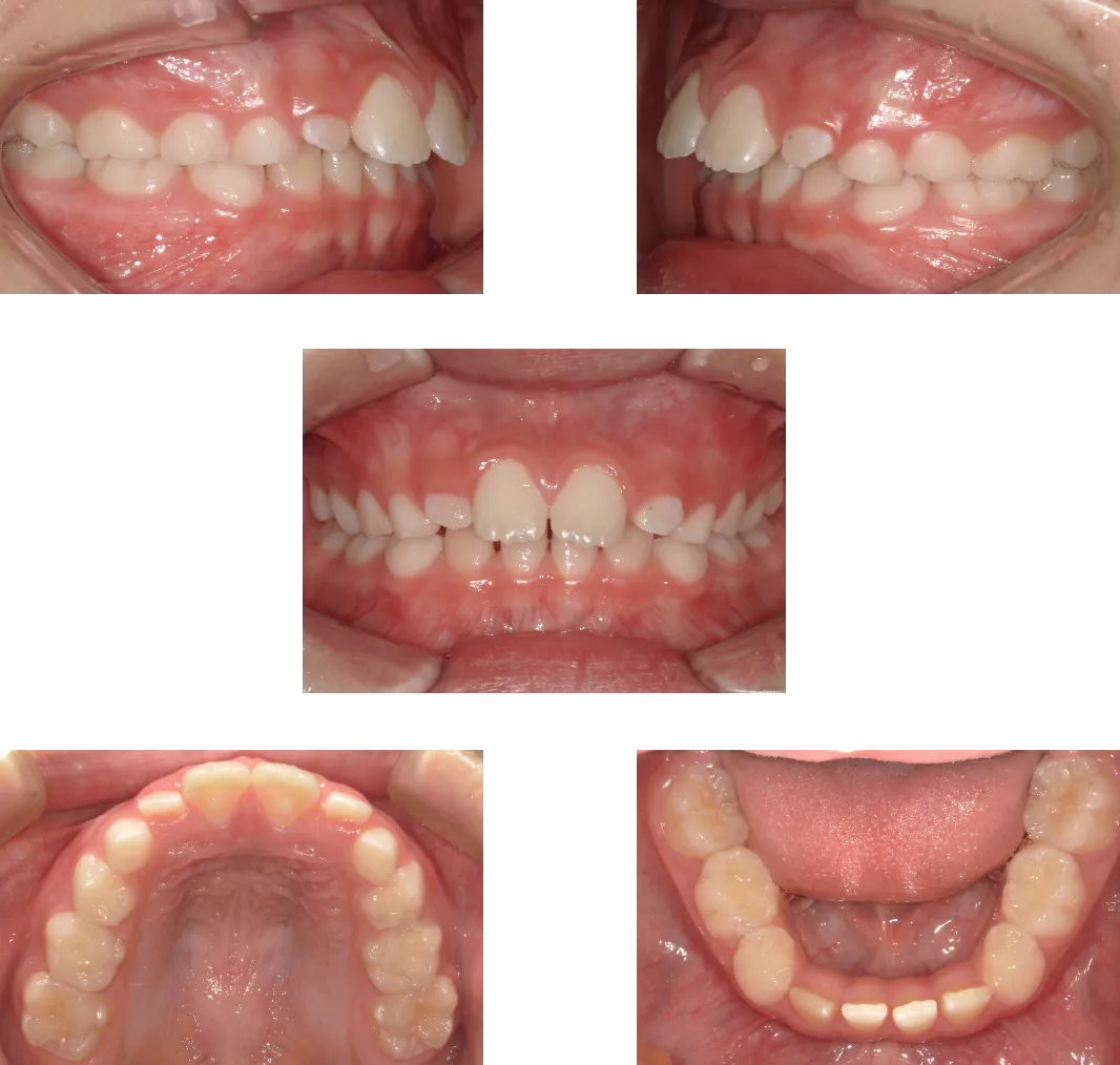
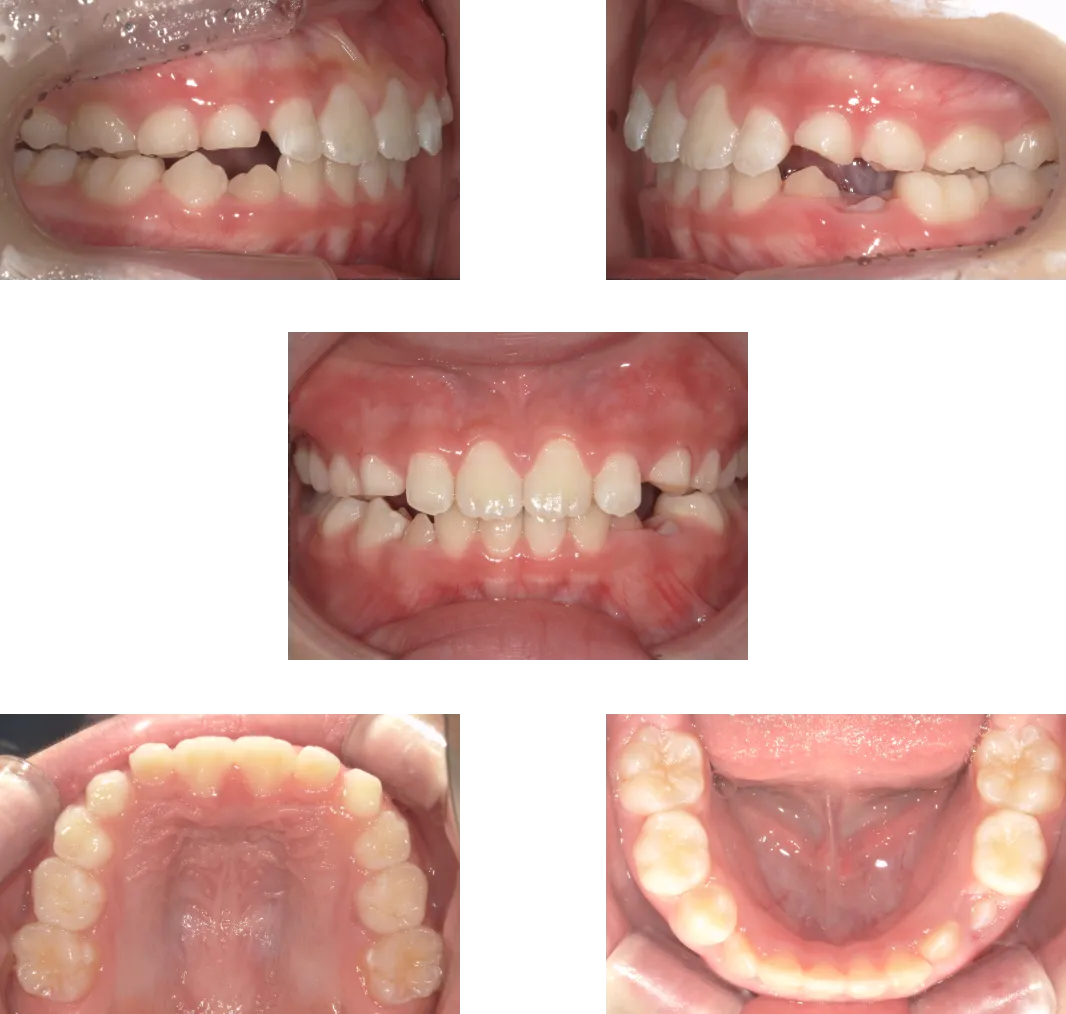
叢生 -15歳-

  • Before

  • After

診断
左側上顎犬歯低位、唇側転位
治療期間
2年+保定期間2年
料金
810,000円
抜歯
あり
リスク
痛み、軽度の歯根吸収、術後の変化

成人

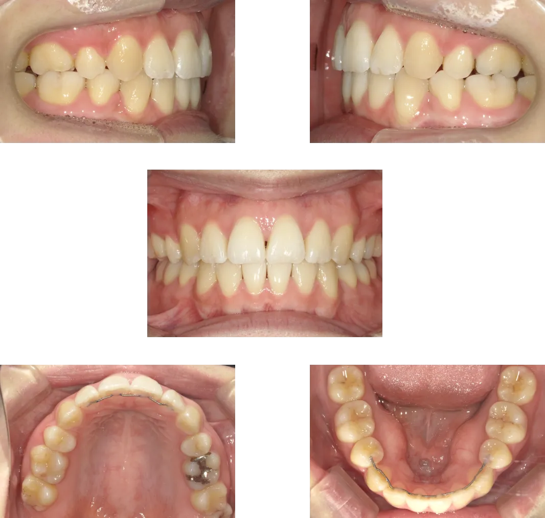
上顎前突 -25歳-

  • Before

  • After

診断
叢生、上顎前突
治療期間
2年6ヶ月+保定期間2年
料金
1,176,000円
抜歯
あり
リスク
痛み、軽度の歯根吸収、術後の変化

初診のご予約はこちら!
ぜひお気軽にご相談ください

初診のご予約は、こちらの診療カレンダーにて、診療日、空いてる日時をご確認の上、「初診予約フォーム」よりいつでもお気軽にご予約下さい。また、お電話1本でもすぐにご予約を承りますので、お気軽にご連絡くださいませ。

初診(来院)予約 診療内容→お好きな日時→ご連絡先入力でご予約完了!

オンライン診療 オンライン診療のご利用もできます。

お電話でのご予約はこちら
04-7199-8465

月(不定期)・火・水 11:00~19:00
10:00~18:00
9:00~18:00
月(第1週のみ診療)、
木、日
休診日
トップへもどる